使用機器

Ingenia Elition S 3.0T

Achieva 3.0T
MRI検査とは
MRI(Magnetic Resonance Imaging:磁気共鳴画像)の略語で、強力な磁石でできた筒の中に入り、磁気と電磁波の力を利用して臓器や血管の撮像を行う検査です。

脳MRA

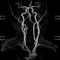
頚部MRA

心臓MRI

乳腺MRI

MRCP

肝臓MRI
注意事項
次のような方は検査を受けられないことがあります。
(必ず検査予約時、検査前にスタッフにお申し出ください)
- 心臓ペースメーカーが留置されている方
- 骨折などにより体内に金属を埋め込んでいる方
- 人工内耳、人口耳小骨を使用されている方
- 磁力により装着する義眼、義歯を使用されている方
- チタン製品以外の血管クリップが入っている方
- 入れ墨のある方
- 8週間以内に血管ステント置換術を施行された方
- 閉所恐怖症の方
- 神経刺激装置、骨成長刺激装置を使用されている方
- 妊娠初期の方
MRI検査を受ける方へ
当院では、安全に検査を受けて頂くため、検査を受ける方全員に体内金属の有無に関する問診を行っています。 また、検査部位にかかわらず検査着への着替えも行っている為、 予約時間の20分前の来院をお願いしています。(撮影状況により時間が前後する可能性がありますがご了承ください。)


